Παιδοδοντία
Η πρώτη επίσκεψη 
του παιδιού μας
Η πρώτη οδοντιατρική επίσκεψη θα πρέπει να πραγματοποιηθεί αμέσως μετά τα πρώτα γενέθλια του παιδιού σας, για την πρώτη γνωριμία του με την παιδοδοντιάτρο.  Από τριών ετών και μετά, το παιδί επισκέπτεται την παιδοδοντίατρο για τακτικό έλεγχο, φθορίωση, κ.ο.κ.
Η πρώτη του επίσκεψη είναι σύντομη και ο στόχος μας είναι να γίνει μια διασκεδαστική εμπειρία.
Η πρώτη του επίσκεψη είναι σύντομη και ο στόχος μας είναι να γίνει μια διασκεδαστική εμπειρία.



Σημαντικό βήμα της επίσκεψης σας, είναι η εκπαίδευση γονιών και παιδιών για τον σωστό καθαρισμό των δοντιών και οι συμβουλές για την ιδανική στοματική υγιεινή.
Πρόσφατες μελέτες δείχνουν ότι διάφορα θέματα υγείας στην παιδική ηλικία συνδέονται με την υγεία της στοματικής κοιλοτητας. Επίσης ελέγχουμε προβλήματα αναπνοής στα παιδιά που φαίνεται να συνδέονται με κακής ποιότητας ύπνο, αλλεργίες, ή ακόμη και ADHD. 
Σκοπός μας είναι να συμβάλλουμε στην υγιή ανάπτυξη του παιδιού σας. 
Δημιουργία σχέσεων ειλικρίνειας με τους ασθενείς μας, με σκοπό την καλυτέρευση της ποιότητας ζωής του ασθενούς. 
Αυτό το πετυχαίνουμε με την άριστη ποιότητα εργασιών, αλλά και την άριστη εξειδίκευση συνεργατών που διαθέτουμε!
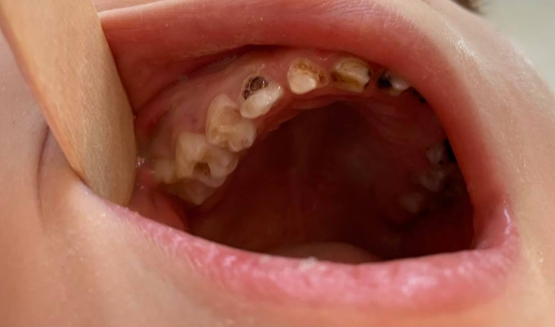
Πόσο άσχημα μπορεί να χαλάσουν τα δόντια ενός παιδιού;
κάντε κλικ στην κάθε φωτογραφία για μεγένθυνση
7 πράγματα που σίγουρα δεν γνωρίζετε για τα Οδοντικά Εμφυτεύματα
Όταν μιλάμε για οδοντικά εμφυτεύματα, οι περισσότεροι ασθενείς μας γνωρίζουν ότι πρόκειται για μια επιλογή αντικατάστασης χαμένων δοντιών. Ωστόσο υπάρχουν πολλά χαρακτηριστικά των εμφυτευμάτων που τα ...
διαβάστε περισσότεραΠώς να επιλέξετε νέο Οδοντίατρο;
Αν για κάποιο λόγο, εσείς έχετε δυσαρεστηθεί με τον Οδοντίατρο σας κι έχετε επιλέξει να επισκεφθείτε ένα νέο οδοντιατρείο, σας παραθέτουμε κάποιες χρήσιμες συμβουλές για την επιλογή του νέου σας επαγγ...
διαβάστε περισσότεραΤραύμα Δοντιού: Πρώτες Βοήθειες
Οι πρώτες βοήθειες για την αντιμετώπιση ενός τραυματισμού δοντιού. "Όσο πιο γρήγορα πάμε στον οδοντίατρο μας, τόσο το καλύτερο για το δόντι μας!".
...
διαβάστε περισσότερα
Μιλήστε με την Ομάδα μας..
Αποκτήστε κι εσείς ένα όμορφο και υγιές χαμόγελο, σε όποια ηλικία κι αν είστε.








